Dr. Richard Crosby
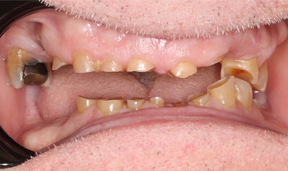
Jim came to our Anchorage dental office after years of living with worn-down, missing, and chipped teeth that had severely impacted his quality of life. Years of clenching and grinding had left his teeth damaged, difficult to use, and nearly invisible when he smiled. Simple pleasures, like enjoying a meal, laughing with friends, or showing his smile, had become sources of frustration and self-consciousness. But with Dr. Crosby’s help, Jim was ready to reclaim his smile, health, and confidence.
A Comprehensive Treatment Path with Leading-Edge Technology
After a thorough evaluation, Dr. Crosby developed a comprehensive treatment plan to address Jim’s specific needs and restore his smile. The team began with a full mouth reconstruction. This process included extracting all remaining damaged teeth and strategically placing six implants on the upper arch and six on the lower. These implants now support a customized upper and lower hybrid denture, giving Jim a stable, beautiful, and fully functional smile.
Dr. Crosby’s office used advanced dental technologies, starting with the K7, to determine Jim’s ideal bite alignment and relieve years of clenching and grinding to ensure the best results. A CT scan allowed a complete, 3D view of Jim’s bone structure, enabling precise digital implant placement before surgery. Dr. Crosby’s team also used a 3D printer to fabricate the models and implant guides needed for accurate implant placement and to craft a custom temporary hybrid denture. With the Prime Scan digital impressions and Tscan to fine-tune his bite, every part of Jim’s new smile was customized to provide a natural feel, appearance, and lasting function.
A Smile Transformation and Renewed Quality of Life
Today, Jim’s life has changed in many ways. He can eat the foods he loves without hesitation, which has improved his nutrition and overall health. More importantly, he feels proud of his smile and comfortable laughing and talking with friends. Jim even shares that he feels younger and happier with his new smile, which has added a fresh level of confidence to his daily life.
Jim’s Words of Gratitude
“Thank you so much for all your hard work! You went over and above to help us and make us feel so comfortable and cared for. You are a bright star in our universe,” shares Jim.
Jim’s story is a powerful example of how modern dental technology, paired with a personalized approach, can truly transform lives. At Dr. Crosby’s office, every smile has a story—and we’re here to make each one brighter. If you’re ready to start your journey to a new smile, call our office at (907) 277-1098.

