Meet Deb

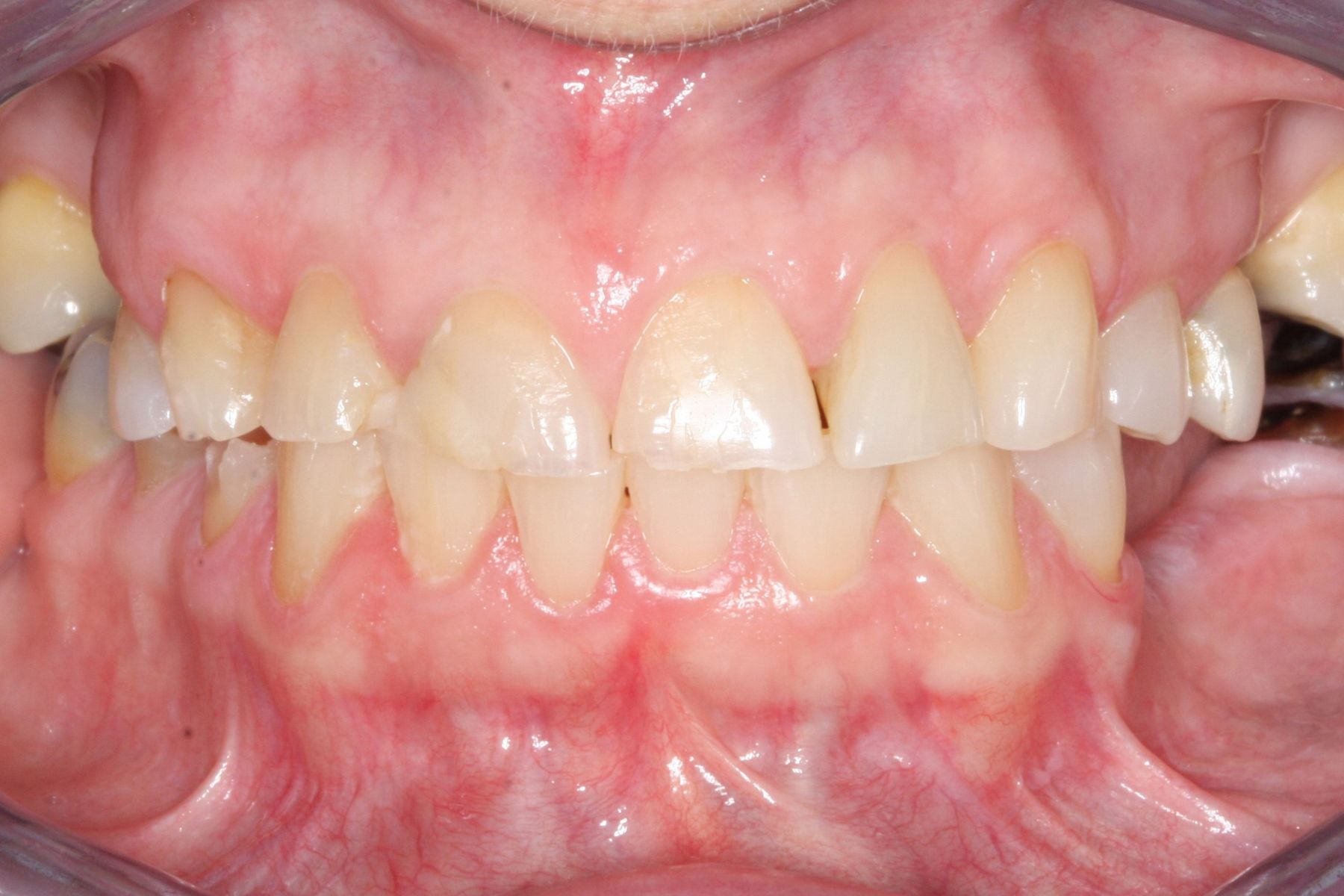
The condition of Deb’s teeth not only impacted her appearance but also her daily interactions and comfort. She desperately needed a comprehensive solution to address the aesthetic and functional aspects of her dental health.
Advanced Treatment Plan
Dr. Crosby proposed an extensive treatment strategy aimed at completely revitalizing Deb’s dental health:
- Full Mouth Reconstruction: Every tooth in Deb’s mouth was meticulously rebuilt or restored.
- Dental Implants: Missing molars were replaced to regain the full functionality of her bite.
- <strong>Porcelain Veneers</strong>, Crowns, and Bridges: These not only corrected the discoloration and damage but also ensured a harmonious, appealing smile.
- Bite Correction: Advanced diagnostics helped find the most comfortable and effective bite position, significantly reducing Deb’s discomfort.
The success of the treatment was bolstered by the latest in dental technology:
- K7 Evaluation System & TENS Unit: These were crucial in determining the optimal jaw position.
- Cone Beam CT Scan & Primescan Digital Impression: These provided precise imaging for accurate treatment planning and implant placement.
- CEREC Crown Milling Unit & 3D Printing: Enabled the swift creation of perfectly fitting crowns and implant guides directly in the office.
Astounding Results
Post-treatment, Deb experienced a profound transformation. She gained a smile that not only looks great but also feels right. Dr. Crosby reflects on the impact of the treatment, saying, “Seeing Deb’s journey from self-consciousness to radiant confidence has been profoundly rewarding. Her transformation highlights the power of comprehensive dental care combined with cutting-edge technology.”
Deb enthusiastically shares her experience, noting, “I used to avoid smiling, but now, I look for reasons to smile. My new smile has changed how I feel about myself and how others see me. It’s more than just aesthetics; it’s about feeling whole again. I’m so grateful to Dr. Crosby and his team for this incredible change.”
Start Your Journey Today
Deb’s story is more than a dental success; it’s a personal renewal. Through the skilled hands of Dr. Crosby and his use of advanced dental technologies, she regained her smile and confidence. Her journey stands as a beacon for others considering transformative dental procedures. If you’re ready to start your journey to better dental health contact our experts today at (907) 277-1098 or use our online contact form, and achieve the smile you’ve always wanted.



